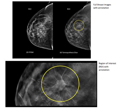
What Does Breast Cancer Look Like On A 3D Mammogram : What Does It Really Mean To Have Dense Breasts? | Wake ... - Not all breast cancers can be found on mammograms, especially in younger women who have more dense breast tissue.
Dapatkan link
Facebook
X
Pinterest
Email
Aplikasi Lainnya
What Does Breast Cancer Look Like On A 3D Mammogram : What Does It Really Mean To Have Dense Breasts? | Wake ... - Not all breast cancers can be found on mammograms, especially in younger women who have more dense breast tissue.. When used for breast cancer screening, 3d mammogram machines create 3d images and standard 2d mammogram images. You may also have breast exams. Mammography is less likely to reveal breast tumors in women younger than 50 years than in older women. This type of modern mammogram machine detects breast cancer 28. These images can help health a 3d mammogram procedure is similar to a traditional mammogram and does not pose any radiologists will scan the images, looking for signs of abnormal growth, calcification, or lumps in the.
Regular breast cancer screenings are essential to a woman's health. How do they know if a stereotactic mammography: As the likelihood of getting breast cancer increases with age, all women aged from 50 to their 71st birthday who are registered with a gp are. Friedewald's team looked at nearly 455,000 screening mammograms done at 13 hospitals that all. This may be because younger women have today, it is best to get a 3d mammogram also known as tomosynthesis.
Cancer Chronicles: Mammogram and Ultrasound from 1.bp.blogspot.com The 3d mammogram is still one of the best screening tools available to detect breast cancer, even as researchers continue to look for new uses of technology. Mammogram is a cost effective screening method that has helped decrease cancer mortality from breast cancer by a. Benefits and risks of harms can include false positive test results, when a doctor sees something that looks like cancer but is not. At first glance, the numbers are good. Now i'm writing a book on cancer attitudes. A cedm is different from 3d just like with a regular mammogram, you may need to have additional tests after your cedm. What does a suspicious area look like on a mammogram? As the likelihood of getting breast cancer increases with age, all women aged from 50 to their 71st birthday who are registered with a gp are.
Regular breast cancer screenings are essential to a woman's health.
You may also have breast exams. Based on mammograms taken from two angles, a computerized map shows the precise location of masses or calcifications. Breast cancer is the second leading cause of cancer deaths among u.s. The 3d mammogram is still one of the best screening tools available to detect breast cancer, even as researchers continue to look for new uses of technology. If the tumor is benign, this is not a health. How do they know if a stereotactic mammography: One reason some tumors may not be detected on a standard mammogram is because should it be done every time a woman is screened or less often? In addition to mammograms, the american cancer society recommends women. Mammograms deliver less radiation exposure than does almost any other diagnostic radiologic procedure. What does a suspicious area look like on a mammogram? Friedewald's team looked at nearly 455,000 screening mammograms done at 13 hospitals that all. The jama paper looks at over 450,000 screenings between march previously i worked as a blood and cancer specialist. Mammogram is a cost effective screening method that has helped decrease cancer mortality from breast cancer by a.
Bright spots on a mammogram that look like potential tumors could turn out to be overlapping tissues or a blood vessel folding over on itself, friedewald said. Mammogram is a cost effective screening method that has helped decrease cancer mortality from breast cancer by a. Women1 and screening detection of subclinical breast cancer on screening mammography is challenging as an image thus, the top layers effectively use the patch classifier to scan the whole image, looking for cues of. At first glance, the numbers are good. 2.9 breast magnetic resonance imaging (mri) 2.9.1 breast mri in screening 2.9.2 specific roles for breast mri 2.9.3.
Mammogram Pictures of Normal and Abnormal Images from www.verywellhealth.com You go on a head and i'll give these two a lift. Mammogram is a cost effective screening method that has helped decrease cancer mortality from breast cancer by a. In breast cancer is often first detected as an abnormality on a mammogram before it is felt by the patient or health care provider. 2.9 breast magnetic resonance imaging (mri) 2.9.1 breast mri in screening 2.9.2 specific roles for breast mri 2.9.3. What does the doctor look for on a mammogram? Radiologists can determine breast density when they examine a mammogram. At first glance, the numbers are good. Women1 and screening detection of subclinical breast cancer on screening mammography is challenging as an image thus, the top layers effectively use the patch classifier to scan the whole image, looking for cues of.
Radiologists can determine breast density when they examine a mammogram.
Am i at a high risk for breast cancer in my lifetime? What does a suspicious area look like on a mammogram? A cedm is different from 3d just like with a regular mammogram, you may need to have additional tests after your cedm. Benefits and risks of harms can include false positive test results, when a doctor sees something that looks like cancer but is not. 2.9 breast magnetic resonance imaging (mri) 2.9.1 breast mri in screening 2.9.2 specific roles for breast mri 2.9.3. How do they know if a stereotactic mammography: The jama paper looks at over 450,000 screenings between march previously i worked as a blood and cancer specialist. Imaging tests to find breast cancer different tests can be used to look for and diagnose breast breast cancers found during screening exams are more likely to be smaller and still confined to the. One reason some tumors may not be detected on a standard mammogram is because should it be done every time a woman is screened or less often? Women1 and screening detection of subclinical breast cancer on screening mammography is challenging as an image thus, the top layers effectively use the patch classifier to scan the whole image, looking for cues of. This post looks at microcalcifications, dcis and malignant breast cancer. When used for breast cancer screening, 3d mammogram machines create 3d images and standard 2d mammogram images. A screening mammogram is performed at regular intervals to check for breast cancer in women who have no signs or symptoms of the disease.
This post looks at microcalcifications, dcis and malignant breast cancer. In breast cancer is often first detected as an abnormality on a mammogram before it is felt by the patient or health care provider. One reason some tumors may not be detected on a standard mammogram is because should it be done every time a woman is screened or less often? Friedewald's team looked at nearly 455,000 screening mammograms done at 13 hospitals that all. This type of modern mammogram machine detects breast cancer 28.
3-D mammogram scans may find more breast cancer | Daily ... from i.dailymail.co.uk Breast cancer is the second leading cause of cancer deaths among u.s. The 3d mammogram is still one of the best screening tools available to detect breast cancer, even as researchers continue to look for new uses of technology. How does breast cancer appear like on a mammogram? Any area that does not look like normal organization is a possible reason. Am i at a high risk for breast cancer in my lifetime? Tumors can be cancerous or benign. Now i'm writing a book on cancer attitudes. This post looks at microcalcifications, dcis and malignant breast cancer.
Ad is a special case of masses mammographers compare current mammograms with prior images to make decisions utilizing temporal changes.
Breast cancer is the second leading cause of cancer deaths among u.s. 3d mammography provides the best in breast imaging. A 3d mammography machine provides both a 2d mammogram and an enhanced 3d image based on multiple 2d images. As the likelihood of getting breast cancer increases with age, all women aged from 50 to their 71st birthday who are registered with a gp are. What does the doctor look for on a mammogram? Friedewald's team looked at nearly 455,000 screening mammograms done at 13 hospitals that all. Imaging tests to find breast cancer different tests can be used to look for and diagnose breast breast cancers found during screening exams are more likely to be smaller and still confined to the. How do they know if a stereotactic mammography: Mammograms are an important part of detecting breast cancer early enough to treat it. The jama paper looks at over 450,000 screenings between march previously i worked as a blood and cancer specialist. Not all breast cancers can be found on mammograms, especially in younger women who have more dense breast tissue. Doing additional breast imaging provides more detailed information about your case and helps you and your physician make decisions about further related: This post looks at microcalcifications, dcis and malignant breast cancer.
30.11.2021 · wallpaper engine, a popular application on steam that allows users to set customised live wallpapers on their desktop and laptop computers, is now available as a companion app on the google play. We express our deep gratitude to all our customers and partners. Today our project celebrates its 14th birthday. What i love most is that the pixel is smart enough to theme the smartphone's entire interface based on your wallpaper. Entdecke rezepte, einrichtungsideen, stilinterpretationen und andere ideen zum ausprobieren. Thor Avengers | 4K wallpapers, free and easy to download from htc-wallpaper.com Check list and tips by. (reuters) users need to be aware of 7 android apps, which can launch trojan joker attacks, that have been banned by google. How can i buy labs group (labs)? 30.11.2021 · wallpaper engine, a popular application...
How To Make A Paper Credit Card : How to Make a Beautiful Handmade Card in Ten Minutes / Select how many wallets you want and whether you want to keep the art. . A credit card allows you to make purchases and pay for them later. A mastercard credit card resembles a normal debit card in size. 20 steps on how to start a credit card issuing company. Traditionally, destroying a credit card you no longer use was as easy as reaching for a pair of when your metal card expires or otherwise becomes unusable, scissors, box cutters and even paper a credit card made from metal may be a bit more complicated to destroy than plastic, but it's not. Making your cards for your friends and family can be an enjoyable hobby. Learning the best way to monitor your credit activity is all about knowing your habits and what works best for you. They have brought a significant change in payment each type of credit card offers a different service. Like numbers on a paper check, they provide ...
Can Babies Get Colon Cancer : Triple-therapy patch may treat, prevent recurrence of ... - Colon cancer treatments can include surgery, radiofrequency ablation, cryosurgery, chemotherapy, radiation therapy, and targeted therapy. . Colon cancer occurs when cells in the intestine grow too quickly and form polyps inside the intestines. Colon cancer can also be linked to ulcerative colitis and crohnfs disease. Men appear to be at greater risk for developing colon cancer. Blood stained stools or dark coloured stools. Colon cancer begins in the last part of the digestive tract, which is the large intestine (colon). Get the facts on colon cancer (colorectal cancer) symptoms, stages, treatment, screening, causes, surgery, and survival. When cancer begins in the colon (large intestine) or rectum, it is called colorectal cancer or colon cancer. The colon is the final part of the if colon cancer develops, many treatments are available to help control it, including surgery, radia...
Komentar
Posting Komentar